A Patient's Smile Transformation: A Journey of Precision and Innovation

Orthodontics is about more than just straightening teeth—it’s about crafting healthy, functional, and beautiful smiles that last a lifetime. This patient came to us seeking a solution for the significant crowding in his lower teeth and minor upper crowding, all while prioritizing esthetic, invisible treatment options. 

We combined the precision of Inbrace for his lower teeth with the subtlety of clear Invisalign aligners for his upper arch. Each step of the way was carefully planned to address his specific needs. Join us as we take you through this patient’s smile transformation, complete with progress photos and behind-the-scenes insights with Dr. Andrew. This is a journey of precision, teamwork, and the power of cutting-edge technology to provide orthodontic care. Let’s dive in! 

 

Solving Crowding with a Hybrid Approach: The Journey to a Perfect Smile

Significant crowding of the lower front teeth and some minor upper crowding brought this patient to us, seeking a discreet way to achieve straight teeth and an amazing smile. Like many of our patients, he preferred an esthetic solution that would minimize the visibility of orthodontic appliances during treatment. 

We took our time to study the case and after talking through many of the treatment options Walker and Dr. Andrew determined that extracting a lower incisor was the best course of action. Extracting teeth is never a decision made lightly—in this case it was based on the significant crowding and the thin gingival tissue present. Attempting to align the lower teeth without reducing the number of teeth would have put the patient at a higher risk of developing gingival recession in the area.  

To be as efficient as possible, we opted for a hybrid treatment plan tailored to his specific needs. For the upper teeth, clear aligners provided the invisible solution the patient preferred, while for the lower teeth, we selected Inbrace, a fixed appliance placed on the inside of the teeth. This combination offered excellent esthetics for the upper arch and the more predictable root control for the lower teeth needed to close the extraction space.  

By using the unique advantages of each appliance type (Invisalign and Inbrace) we not only addressed the patient’s crowding but also safeguarded his gum health and delivered the confidence he was looking for in his smile transformation. 

The Start of The Smile Transformation: Lower Inbrace Bonding

Walker’s journey began with the initial bonding appointment for his lower teeth using Inbrace. This cutting-edge appliance, placed on the inside of the teeth, was chosen for its ability to provide precise root control while maintaining an esthetic, invisible treatment approach. 

Knowing that one tooth was going to be extracted and the adjacent tooth was too crowded to get a bracket in the best location, we decided to leave these off until after the extraction of the incisor. These adjustments were part of the plan to create space and ensure efficient alignment as treatment progresses. 

Progress Update: Transformative Changes After Extraction

This patient’s journey continues, and the progress is already remarkable! Following the extraction of a lower incisor and the bonding of the lower canine, we’ve seen significant improvement in the alignment of his lower front teeth. 

The removal of the crowded incisor created the necessary space to begin shifting the teeth into a healthier position. Within a short time, the results speak for themselves—his lower teeth are already aligning beautifully, showcasing the effectiveness of the treatment plan. 

Fine-Tuning Walker’s Smile: Precision Adjustments for Optimal Results

Walker’s treatment is progressing nicely! The space created by the extraction has closed seamlessly, and his lower front teeth are looking more aligned with each step. However, orthodontics is all about precision, and we noticed a slight adjustment was needed for the root position of the lower right central incisor. 

To address this, we ordered a digital enhancement wire for his Inbrace system. This specialized wire allows us to fine-tune the treatment plan after seeing how the teeth responded based on our initial simulations, ensuring a stable and esthetic result that will last long after treatment is complete. 

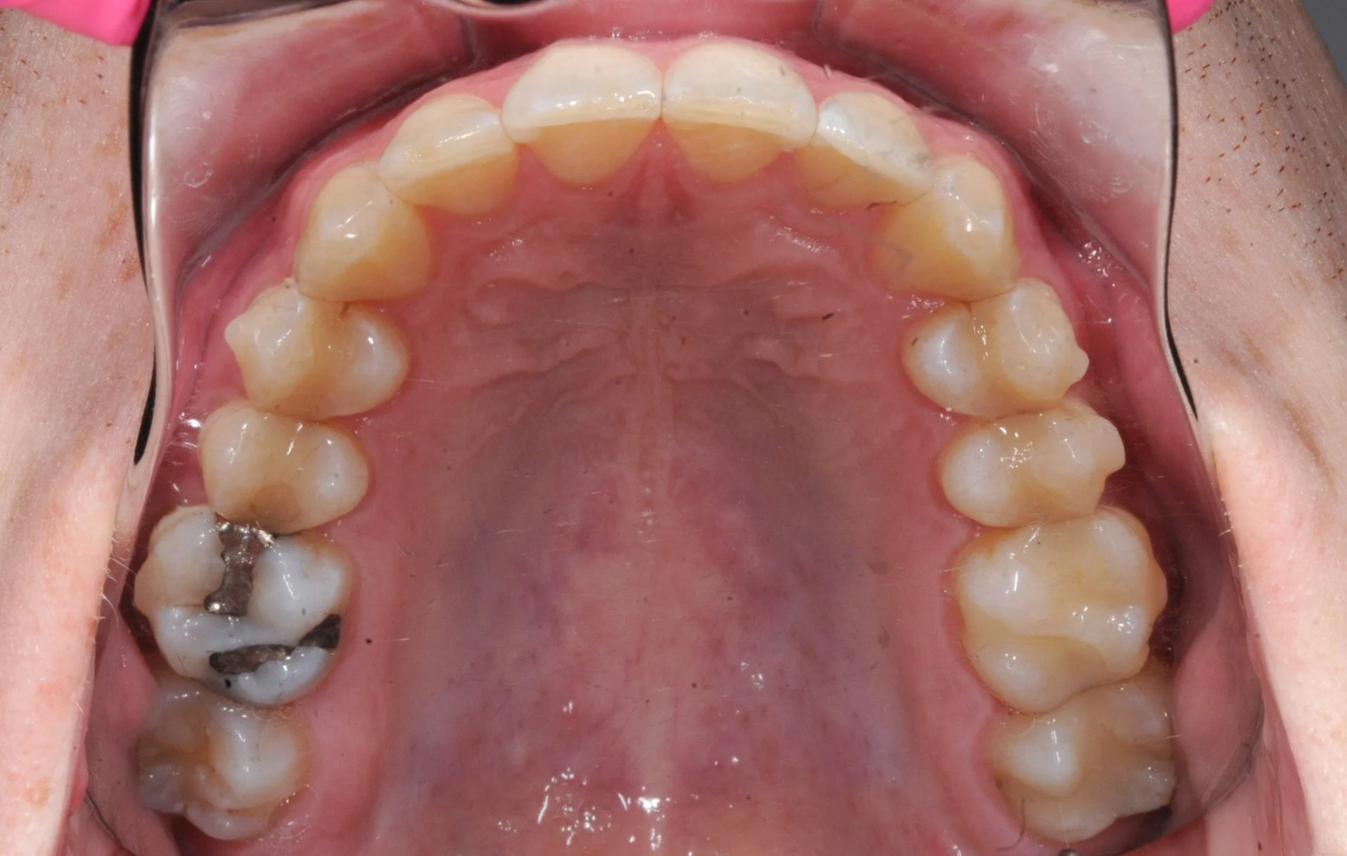
Meanwhile, Walker’s upper teeth are doing nicely with clear aligners, staying on track with the hybrid treatment plan designed to prioritize both function and esthetics. 

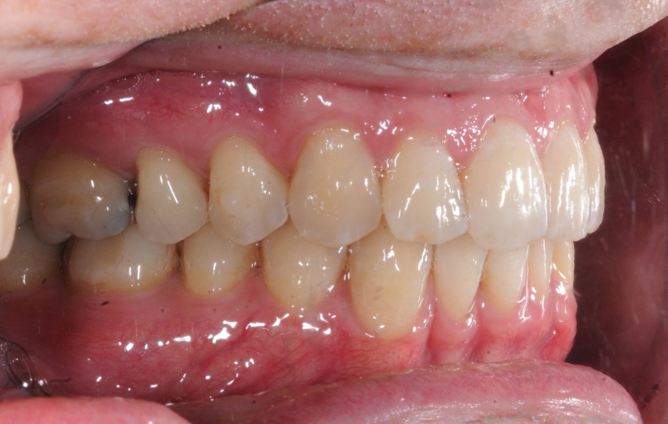
Walker’s Smile Transformation: Space Closed, Roots Aligned

The space created by the extraction has now fully closed, and the roots of his teeth have been aligned! Mission accomplished. 

Closing the space while ensuring proper root positioning was a key step in achieving a stable and harmonious smile. With the roots now aligned, this patient’s teeth are not only esthetically pleasing but also positioned for long-term health and functionality. 

Walker’s Smile Journey: A Stunning Finish in Just 1 Year!

These results are nothing short of amazing! Take a look at how well aligned his teeth are and how healthy the tissue on the bottom looks. 

Here’s the big reveal: it took just 1 year to complete the treatment for his lower teeth with Inbrace! In fact, the Inbrace system finished aligning the lower arch faster than the upper aligners. A testament to the predictability of the Inbrace system. 

Even after these final photos were taken, we continued using clear aligners on the top teeth for some fine-tuning, ensuring every detail of Walker’s smile is perfect. 

From crowded and misaligned teeth to a confident, healthy smile, Walker’s journey shows what’s possible with a carefully crafted treatment plan with Dr. Andrew!

  Stay tuned for more success stories, and let us know what you think of Walker’s incredible results! 



 
 


 
 

Schedule your next consult with dr. Andrew Lemchen!